برای محصولات بیشتر کلیک کنید.
هیچ محصولی پیدا نشد.
برای محصولات بیشتر کلیک کنید.
هیچ محصولی پیدا نشد.

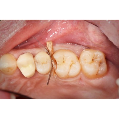
سکشنال ماتریس - Polydentia - PolydentiaPro

مرجع:
5720 - 20331‎00045
نام تجاری : Polydentia
نوار
2,000,000 تومان

ویژگی های محصول

  • نوار ماتریس پلی دنشیا - Unica Minideep Anterior Matrices
  • سکشنال ماتریس اینترپروگزیمال
  • ضخامت ۰.۰۵ میلی‌متر
  • stainless steel
  • محافظت عالی از دندان های مجاور در حین آماده سازی
  • جاگذاری حذف آسان
  • زمان پرداخت کم تر به لطف دندان های مجاور بدون خراش
  • طراحی استایل ایتالیانو
  • عرضه به صورت بسته‌بندی ۱۰۰ عددی
بیشتر بخوانید
توضیحات
  • سکشنال ماتریس - Polydentia - PolydentiaPro
  • PolydentiaPRO یک ماتریکس محافظ پیش‌شکل از جنس استیل ضد زنگ و با ضخامت ۰.۰۵ میلی‌متر می‌باشد که برای جلوگیری از آسیب به دندان مجاور که معمولاً در طول آماده‌سازی کلاس II رخ می‌دهد، طراحی شده است.
  • شکل کانتور و دو لبه آن به طور خاص مهندسی شده‌اند تا به راحتی بین لبه و نقطه تماس جابه‌جا شوند و قرار گیری ماتریس را تسهیل می‌کنند.
  • آماده سازی دندان‌ها برای درمان‌های ترمیمی می‌تواند یکپارچگی ساختار پروگزیمال دندان‌های مجاور را به طور جدی به خطر بیندازد و پیامدهای منفی احتمالی در آینده ایجاد کند.
  • برای جلوگیری از چنین آسیب ناخواسته‌ای، PolydentiaPRO، راه حل جدید برای محافظت موثر از دندان‌های مجاور است.
جزئیات محصول
5720 - 20331‎00045

مشخصات

کشور تولیدکننده
سوئیس
تعداد
۱۰۰ عددی
ضخامت(mm)
۰.۰۵
نوع سکشنال ماتریس
اینترپروگزیمال
بدون لبه
مشاهده کامل ویژگی ها
نظرات
بدون نظر
10,880,000 تومان 16,000,000 تومان
رینگ پلی دنشیا - Polydentia - My Ring Forte Refill  بسته بندی دو عددی دارای دو جفت سری مدیوم شامل : یک جفت لارج(آبی) و یک جفت اسمال(بنفش) رینگ و سری ها قابل اتوکلاو می‌باشند.  از مایع دکونکس جهت تمیزکاری استفاده...
1,755,000 تومان 1,950,000 تومان
سکشنال ماتریس - Polydentia - Quickmat FIT سکشنال ماتریس پروگزیمال آناتومیک ضخامت ۰.۰۴ میلی‌متر stainless steel کانتور سه بعدی بازسازی دقیق آناتومیک بازسازی‌های دقیق آناتومیک کاهش زمان مورد نیاز برای شکل دهی دارای...
1,710,000 تومان 1,900,000 تومان
نوار پالیش - Polydentia - Abrasive Polishing Strip نوار پالیش ساینده تهیه شده از جنس پلی استر انعطاف پذیر روکش مستحکم دارای ذرات اکسید آلومینیوم جهت پالیش بین دندانی کامپوزیت عرضه با سه میزان پرداخت Fine, Coarse,...
5,520,000 تومان 11,500,000 تومان
ترمیم دندان‌های کلاس(II) مولار و پرمولار ترمیم دندان‌های مجاور از دست رفته ترمیم دندان‌هایی با تاج‌های از دست رفته جداسازی دندان‌ها برای کوربیلدآپ عرض نوار ماتریس : ارتفاع Premolar : 5.5mm ارتفاع Molar : 6.3mm ضخامت...
2,475,000 تومان 2,750,000 تومان
نوار ماتریس منحنی - Polydentia - Tofflemire Contoured Matrices نوار سکشنال برجسته در فضاهای بین دندانی، این نوار به دلیل ضخامت بسیار کم( ۰.۰۳ میلی متر)، کانتکت فشرده ای با ساختار ایده آل فراهم می‌کند. عرضه با ارتفاع...

فهرست

صفحه اصلی

حساب کاربری

تخفیفات ویژه

یک حساب کاربری رایگان برای ذخیره آیتم‌های محبوب ایجاد کنید.

ورود / ثبت نام

یک حساب کاربری رایگان برای استفاده از لیست علاقه مندی ها ایجاد کنید.

ورود / ثبت نام